Qu’est-ce que l’endométriose ?
Qu’est-ce que l’endométriose ?
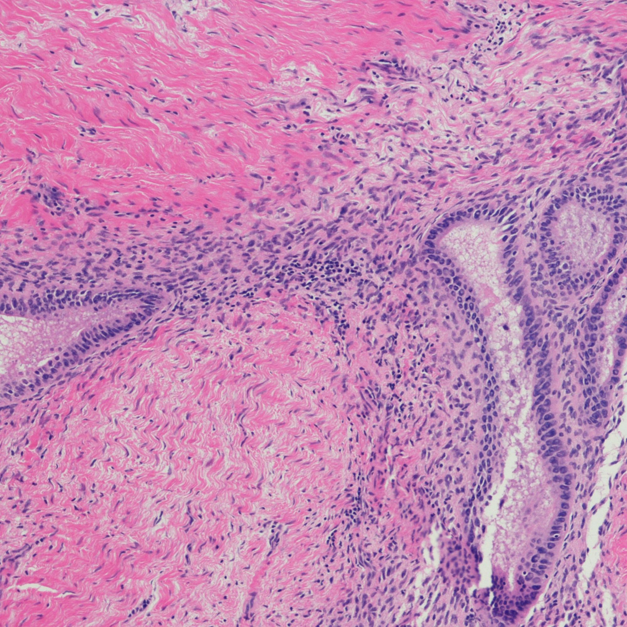
L’endométriose est une maladie gynécologique chronique de la femme en âge de procréer. Sur le plan médical, elle se caractérise par la présence anormale d’endomètre en dehors de la cavité utérine. L’endomètre constitue la muqueuse utérine, c’est-à-dire la couche la plus interne de l’utérus. Au terme du cycle menstruel, une grande partie de l’endomètre est censé être éliminé lors des règles. Dans le cas de l’endométriose, ce tissu situé en dehors de la cavité utérine demeure après les règles, et réagit aux variations hormonales du cycle menstruel. Cela provoque aux endroits où il se trouve des saignements, des nodules, des kystes, ainsi que des inflammations et des formations de tissus cicatriciels pouvant toucher les organes avoisinants. Ses causes sont encore trop mal connues, multifactorielles, associant des facteurs directement liés aux menstruations à des facteurs génétiques et environnementaux.
COMPRENDRE L’ENDOMÉTRIOSE ?
Les essentiels à lire
Stratégie nationale de lutte contre l'endométriose
Ministère des solidarités et de la santé, 2022
Cette publication présente la première stratégie nationale de lutte contre l'endométriose qui touche entre 1,5 et 2,5 millions de femmes en âge de procréer. Fruit d'un travail de concertation réalisé avec des associations de patientes, des professionnels de santé, des chercheurs, et plus largement des acteurs de terrain mobilisés par la lutte contre cette maladie, la stratégie est structurée autour de 3 axes prioritaires de mise en oeuvre : 1) placer la France aux avant-postes de la recherche et de l’innovation sur l’endométriose ; 2) garantir un diagnostic rapide et l’accès à des soins de qualité sur l’ensemble du territoire ; 3) communiquer, former et informer l’ensemble de la société sur l’endométriose.
Prise en charge de l’endométriose Démarche diagnostique et traitement médical
HAS - Décembre 2017
Ces recommandations ont été élaborées par la HAS et le CNGOF. L’endométriose reste une maladie parfois mal repérée, dont la prise en charge est souvent insuffisamment coordonnée pouvant conduire à un retard diagnostic. L’objectif de ces recommandations est de pouvoir proposer à chaque patiente un parcours de soins homogène, coordonné et optimal, avec comme facteur clé l’information des patientes. Les recommandations abordent chaque étape de la prise en charge du diagnostic aux traitements et les situations d’infertilité liées à l’endométriose. Le cas particulier de l'adénomyose a été exclu de ces recommandations. Ces nouvelles recommandations mettent l’accent sur la nécessité d’une approche diagnostique pluriprofessionnelle adaptée, des modalités de traitement individualisées, une prise en charge spécialisée par des équipes pluridisciplinaires, avec le souci permanent d’apporter à chaque étape une information complète aux patientes.
Idées reçues sur l’endométriose
Charles CHAPRON, Yasmine CANDAU, Endofrance, 2020
Mal connue, peu médiatisée, l’endométriose touche pourtant près d’une femme sur 10 en France. Souvent banalisée et ramenée à de simples règles douloureuses, cette pathologie est encore difficilement diagnostiquée, ce qui retarde d’autant une prise en charge adaptée et laisse un nombre important de jeunes filles et de femmes dans la souffrance.
Il est donc essentiel de mieux informer patientes et médecins sur les causes, les symptômes et les traitements de l’endométriose.
C’est la mission d’Endofrance et celle de ce petit livre.
Référentiel ETP Endométriose. Pour développer l’éducation thérapeutique des patientes vivant avec une endométriose
Sonnier Pierre, Marchais Stéphanie, CRES Provence-Alpes-Côte d'Azur, ARS Provence-Alpes-Côte d'Azur, 2022-12, 20 p.
En France, le nombre de femmes en âge de procréer souffrant d’endométriose est estimé entre 1,5 et 2,5 millions, soit 1 femme sur 10. L’endométriose est une maladie dont les manifestations cliniques varient fortement d’une personne à l’autre. Le symptôme principal est la douleur, qui se retrouve chez 70 % des femmes qui en sont atteintes. D’autres symptômes peuvent être présents tels que les troubles urinaires, digestifs ou neurologiques, qui peuvent altérer la qualité de vie des jeunes filles et des femmes.
Suite à la publication en février 2022 de la stratégie nationale de lutte contre l’endométriose, l'ARS PACA a sollicité le CRES afin d'élaborer un référentiel pour le développement de l’éducation thérapeutique de patientes vivant avec une endométriose.
Le référentiel est publié en décembre 2022. Il a été réalisé en partenariat avec les associations Endomind (Association française d’action contre l’endométriose) et EndoFrance (association française de lutte contre l’endométriose) ainsi qu'un comité de pilotage pluriprofessionnel.
Il s'agit d'un outil d’aide à la mise en place d’actions éducatives ou d’un programme d’ETP en endométriose pour les équipes et intervenants en ETP qui propose :
- une méthodologie de recueil des besoins et des attentes
 - une liste des compétences / objectifs éducatifs à intégrer
 - des outils d’animation, structures ressources et sélection bibliographique sur le sujet
 
Rapport de proposition d’une stratégie nationale contre l’endométriose (2022-2025)
ZACHAROPOULOU Chrysoula, Ministère des solidarités et de la santé, 2022
L’endométriose touche 180 millions de femmes à travers le monde. En France, on estime entre 1.5 et 2.5 millions le nombre de femmes en âge de procréer souffrant d’endométriose, soit une femme sur 10. Le ministre des Solidarités et de la Santé a lancé en mars 2021 les travaux pour l’élaboration d’une stratégie nationale de lutte contre l’endométriose. L’objectif de cette stratégie est de progresser rapidement sur la connaissance de la maladie, sa détection et son diagnostic, sa prise en charge, et faire avancer la recherche, cela afin d’améliorer la qualité de vie des personnes atteintes, ainsi que celle de leur entourage. Suivant les 5 axes prioritaires retenus, celle-ci se décline en 18 objectifs, 50 mesures et 152 propositions d’actions concrètes. Ces mesures seront ensuite déclinées en un plan d’actions pour la période 2022-2025. Cette stratégie, puis sa déclinaison, permettront d’améliorer concrètement et rapidement la vie des personnes atteintes d’endométriose en France. Les axes sont : informer, communiquer, sensibiliser ; renforcer la formation des professionnels ; mieux détecter la maladie ; garantir une prise en charge globale et personnalisée sur tout le territoire promouvoir la recherche et l'innovation.
« L’endométriose : comment vivre avec la douleur ? »
HIRIDJEE Kevin, BENCHAEIB Inès, Dossiers Cairn, 2022
Les endométrioses symptomatiques se manifestent principalement par les douleurs pelviennes intermittentes, qui peuvent altérer sévèrement la qualité de vie des femmes atteintes. Les psychologues cliniciens et psychanalystes peuvent participer à une meilleure compréhension et prise en charge de l’endométriose. Cet article étudie les effets psychiques d’une telle maladie, notamment sur le rapport intime d’une femme à sa féminité. [Résumé auteurs]
L'endométriose de Clara. Comprendre la maladie pour les 15-25 ans
Yasmine Candau, MaY Fait Des Gribouillis, Dunod, 2022
Clara, jeune lycéenne de 17 ans, se découvre atteinte d'endométriose et se questionne. Entourée de ses amies et de sa famille, elle nous raconte son histoire.
L'endométriose touche 1 femme sur 10, dès l'adolescence. Cette maladie  débute avec les règles. 
Cette bande dessinée a été réalisée en association avec EndoFrance, dont l'objectif est de faire de la prévention et de réduire le délai diagnostic pour une meilleure prise en charge.  L’autrice s'adresse à ces lycéennes pour tenter de répondre à leurs questions et à celles de leurs familles.
Outils
“Endo’travail”, le serious game qui lève les tabous sur l’endométriose au travail !
EndoFrance, 2023
Ce jeu a pour objectif de sensibiliser les salarié·e·s, les managers, et la Direction à l’impact de l’endométriose sur le quotidien professionnel. Il décrit quelques situations rencontrées par des personnes menstruées atteintes d’endométriose dans le cadre du travail. Il donne également des pistes pour vous aider à trouver des solutions.
Endométriose et Adolescence
« Parce que dans l’inconscient collectif, il est normal que les femmes souffrent pendant leurs règles, et parce que la douleur des très jeunes femmes est plus rarement prise en compte, on considère que seules les femmes adultes sont concernées par l’endométriose. Pourtant…
Plusieurs études ont mis en évidence une fréquence élevée de l’endométriose (jusqu’à 50 %), lors de coelioscopies réalisées chez des adolescentes pour des douleurs sévères (douleurs de règles, troubles digestifs ou urinaires et, une fois sur deux, des douleurs continues en dehors des règles). » (Résumé Endofrance)
Extrait de « l’endométriose ne touche que les femmes adultes », Pr Michel Canis, CHU de Clermont-Ferrand, Les idées reçues sur l’endométriose – Février 2020 – Editions Cavalier bleu
Les ressources utiles
- Ameli.fr
 - EndoFrance
 - Endomind
 - Haute autorité de santé
 - Info-endométriose
 - INSERM
 - Santé.fr
 - La stratégie nationale de lutte contre l’endométriose
 - Le MOOC « Endométriose : l’affaire de tous »
 - L’instruction du 12 juillet 2022 relative à l’organisation de filières dédiées à la prise en charge de l’endométriose